Dental Implants
Durable Dental Implant Solutions in Highland, IN
Losing a tooth can be problematic for many areas, including how you eat and how you smile. Whether from injury, advanced tooth decay, or other oral health issues, a missing tooth can diminish your confidence and impact your quality of life. Elite Dental of Highland provides dental implants in Highland, IN. Implants provide a permanent, natural-looking solution to replace missing teeth and restore your smile. Reach out to us today to learn more about dental implants.

Why Choose Dental Implants?
For decades, the only options for tooth replacement were bridges or dentures. Today, implant dentistry has revolutionized how we treat missing teeth. A dental implant is a small, biocompatible titanium post surgically placed into your jawbone, acting as a new root for your replacement tooth. The many benefits of dental implants include:
- Looks and Feels Natural: Implants are designed to fuse with your bone, becoming a permanent part of your mouth. The final restoration, a custom-made crown, matches your natural teeth.
- Durability and Longevity: Dental implants are durable and can last a lifetime.
- Improved Oral Health: Unlike dental bridges, implants don’t require altering adjacent healthy teeth.
- Restored Function: Eat your favorite foods, speak clearly, and confidently smile.
- Prevents Bone Loss: Dental implants stimulate the bone, preventing bone loss and maintaining facial contours.
Who Is a Candidate for Dental Implants?
Most patients with one or more missing teeth are good candidates for dental implants. Ideal dental implant candidates should have:
- Good overall and oral health.
- Sufficient jawbone density to support the implant.
- Healthy gum tissues, free from periodontal disease.
Our Dental Implant Solutions
You can count on us to offer multiple types of dental implant solutions. We utilize high-quality, biocompatible materials like titanium and ceramic for our implants. From replacing a single tooth to a full smile restoration, our dental implant solutions include:
- Single Dental Implants: A missing tooth can be replaced with one implant and a custom-matched dental crown. This solution functions independently without affecting neighboring teeth.
- Multiple Implants: If you are missing several teeth in a row, an implant-supported bridge is an excellent option. This involves placing two or more implants to anchor a fixed bridge, providing a stable and aesthetic solution.
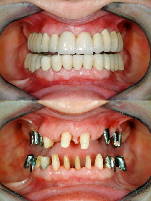
- All-on-4® Dental Implants: We strategically place implants to support a full-arch with a non-removable prosthesis. It’s a cost-effective and efficient way to achieve a complete smile makeover.
- Dental Implants and Dentures: Implants can provide incredible stability and comfort for patients who wear dentures. Implant-supported dentures, or overdentures, snap onto implants, eliminating slipping and the need for adhesives.

The Dental Implant Process
We guide you through every step of the implant journey, ensuring you are comfortable and informed. Our dental implant process includes:
- Initial Consultation:We’ll discuss your goals, assess your oral health, take 3D scans of your jaw, and create a personalized treatment plan.
- Implant Surgery: We surgically place the implant post into your jawbone. Surgery is performed with anesthesia to ensure you are comfortable.
- Healing and Osseointegration: Over the next few months, the implant will naturally fuse with your jawbone in osseointegration. A temporary restoration may be placed during this time.
- Final Restoration: Once healing is complete, an abutment is attached to the implant. We then secure your custom-crafted crown, bridge, or denture.
Why Choose Elite Dental of Highland?
Choosing the right team for your implant dentistry is crucial. Elite Dental of Highland is committed to providing exceptional care and outstanding results. Our skilled team is trained in the dental arts to ensure you have a successful trip to the dentist. We prioritize your health and confidence.
Comprehensive Aftercare for Implants
Think of dental implants as natural teeth. To ensure they last a lifetime, we recommend diligent oral hygiene, including brushing twice daily, flossing once daily, and attending regular dental check-ups and cleanings. Our team will provide detailed instructions to help you maintain your new smile and prevent future issues like tooth decay in your remaining teeth.
Frequently Asked Questions
The surgical placement is performed under anesthesia, so you won’t feel any pain during the procedure. Post-surgery discomfort is typically mild and managed with over-the-counter pain relievers.
Yes, but certain conditions require careful management. Smoking can slow the healing process, and uncontrolled diabetes can increase the risk of infection. We will thoroughly evaluate your health to determine your candidacy and discuss any necessary precautions.
Dental implants often last a lifetime with care and regular dental visits. The crown or restoration attachment may need replacement after 10-15 years due to normal wear.
Unlike dentures, dental implants are permanent. The natural-looking solution helps prevent bone loss, doesn’t require adhesives, and allows you to eat without restrictions. Dentures can slip and may need frequent adjustments.
The cost of All-on-4® varies depending on individual needs, such as the material of the final prosthesis and whether preparatory procedures like extractions are needed. We offer payment options and will provide a detailed cost breakdown.
Schedule Your Dental Implant Consultation Today
Elite Dental of Highland is ready to help restore your smile and regain your confidence. We’ll help change your smile with dental implants. Contact our dental office today to schedule a consultation.